Cette femme de 45 ans avait subi un acte chirurgical sur la jambe gauche pour un mélanome un an et demi avant. Après cela, la patiente avait subi une intervention chirurgicale de la zone pulmonaire supérieure gauche pour une métastase.

En dépit de plusieurs cycles de chimiothérapie réalisés à la fin de l’année 200, de nombreuses métastases furent trouvées dans le cerveau. Ces métastases avait continué à croître en dépit de plusieurs cycles de chimiothérapie qui s’étaient ensuivis. De plus, il y avait des métastases dans les glandes surrénales et dans l’aire colique. La patiente commença un cycle de traitements avec du bicarbonate de sodium intraveineux en mars 2001 qui fut capable d’arrêter la progression des localisations métastatiques. Il fut de ce fait décidé de commencer un cycle de traitement plus agressif, par administration de bicarbonate de sodium directement dans les masses par artériographie sélective des artères cérébrales, grâce à laquelle il fut possible de poser des cathéters dans les artères qui nourrissaient les formations tumorales. Les métastases apparurent avoir visiblement régressé après un cycle de 6 sessions réalisé à la mi-mai 2001.

La patiente aurait dû passer par un autre cycle entre juin et juillet pour éliminer complètement les masses cérébrales. Cependant, des lésions intra-abdominales apparurent entre temps.
Après l’installation d’un cathéter pour traiter ces lésions, la patiente fit l’expérience d’un infection qui retarda le traitement des masses cérébrales, rendant impossible de les traiter adéquatement et de les détruire.
La patiente mourut plusieurs mois plus tard.

En dépit des résultats négatifs, ce cas démontre encore que la thérapie par perfusion de solution de bicarbonate de sodium à 5% amène souvent une régression spectaculaire des néoplasies.

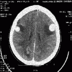
Scans tomodensitométriques complets du

  • 24 février 2001 (en haut)
  • 30 mai 2001 (en bas)

cerebral melanoma 1cerebral melanoma 2

cerebral melanoma 3cerebral melanoma 4

Pin It on Pinterest